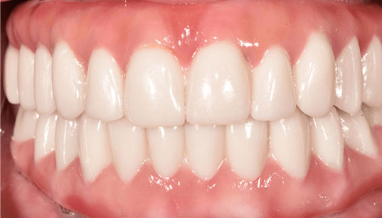
Life-changing treatment - a new smile in a day.
All on 4 Fixed
$13,995/Arch
As low as $209/mo
No Hidden Fees, All Inclusive Price: Includes Extractions and Final New Teeth
Offer expires: April 30, 2026



Cost-effective Teeth Replacement and Dental Implants.

implant retained removable overdenture
$11,495/Arch
As low as $209/mo*
- Complete Oral Evaluation
- Cone-Beam CT Scan
- 4 Implants per Arch
- Removable Prosthesis for the temporary and the final.
- Working with a team of experienced experts who can deliver a life-changing smile

All On 4 with Fixed Acrylic Denture
Single Arch $13,995
Double Arch $27,990As low as $215/mo*
- Complete Oral Evaluation
- Cone-Beam CT Scan
- All-Extractions (if needed)
- 4 Implants per Arch
- Final Resin single arch implant bridge

All On 4 with Fixed Zirconia teeth
Single Arch $18,495
Double Arch $36,990As low as $265/mo*
- Complete Oral Evaluation
- Cone-Beam CT Scan
- All-Extractions (if needed)
- 4 Implants per Arch
- Fixed Single Arch Zirconia Implant Prosthesis Upper or Lower
Full Mouth Dental Implants Cost
Price Options
Free Consultation
implant retained removable overdenture
All On 4 with Fixed Acrylic Denture
All On 4 with Fixed Zirconia Denture
All On 4 with Fixed Zirconia Double Denture
Implant-Supported Full Mouth Dental Implants
All On 4 Implants Katy, TX
When it comes to replacing missing teeth, there are several options to consider, including dental implants, bridges, and dentures. It is important to discuss the benefits and drawbacks of each treatment with your periodontist.
While dental implants are often seen as the best solution for missing teeth due to their appearance, durability, and longevity, they can be costly, especially for patients needing multiple implants. Dentures, on the other hand, are a more affordable option but are often considered less convenient and comfortable due to the need for removal and cleaning, as well as the potential for irritation.
A newer technique for tooth replacement combines the functionality of implants with the affordability of dentures. "All-on-4 implants," "All On 6 Implants," and "Teeth Tomorrow" are all branded denture supported implants that use fewer implants than traditional methods, making them more cost-effective and reducing recovery time.
How Do Denture Implant Restorations Work?
Just like traditional implants, titanium or zirconia implants are surgically placed in the jaw to fuse with the bone and act as a root for an artificial tooth. With implant-supported dentures, a few implants can support up to 16 teeth in one arch, providing the same aesthetics and durability at a lower cost.
All-on-4 implants strategically place four implants to support an entire arch. Two implants are placed in the back of the mouth and two in the front. The front implants are placed straight into the jaw, while the back implants are inserted at a 45-degree angle to avoid the need for a bone graft. This angled placement simplifies the procedure and reduces costs by eliminating the need for a bone graft in the back of the jaw.
Procedure Of All ON 4 Implants
The process for getting full arch implant-supported dentures can vary depending on the brand you choose. However, we will outline the step-by-step process for All-on-4s to give you an idea of what to expect.
Step 1: Schedule an initial consultation with your dentist to determine if you are a suitable candidate for implant-supported dentures. Your dentist will use 3D imaging to assess your jaw bone structure and plan the aesthetic and functional aspects of your new teeth, such as crown length and bite placement.
Step 2: Your dentist will create a computer simulation of your mouth using 3D imaging to plan the precise placement of each implant. A surgical template may also be fabricated to guide the placement of the implants.
Step 3: The next step involves the surgical insertion of the four implants, along with any necessary treatments like tooth extraction and bone shaping. The implants will be capped with abutments and temporary teeth while the jaw bone heals and fuses with the implants. It is important to follow a soft food diet during this recovery period to protect the osseointegration process.
Step 4: Three months after the initial placement, the temporary teeth will be replaced with a permanent fixed denture. Recovery at this stage should be relatively quick and comfortable.
New Teeth in One Day
Cost Of All On 4 Dental Implants
Are You a All On 4 Implants Candidate?
Meet Our Dentists
Why All-on-4 Implants?
- Denture Permanently Fixed With Implants
- New teeth in as little as one day
- Minimally invasive procedure
- Less pain and swelling
- No more ill-fitting dentures
- Eliminates denture adhesives
- Teeth are secure like your natural teeth
- Fewer dental visits
- Immediate results
- Cost effective compared to traditional implants
- Life changing procedure










