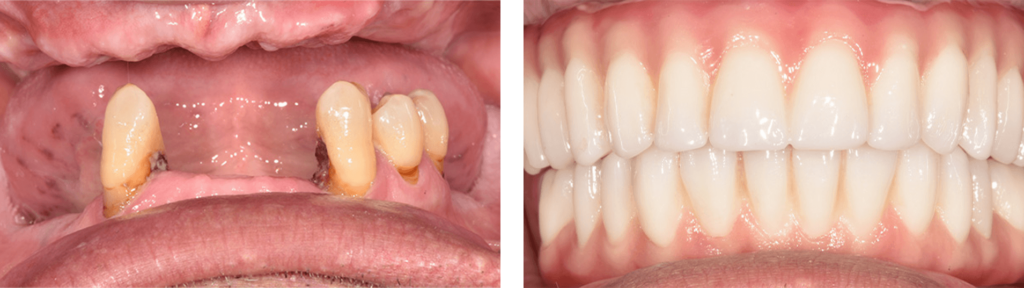
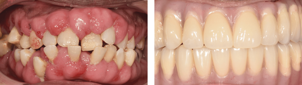
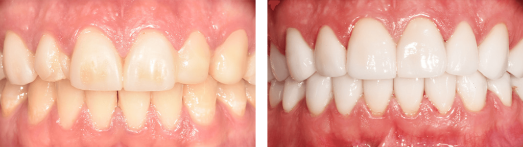
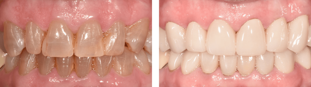
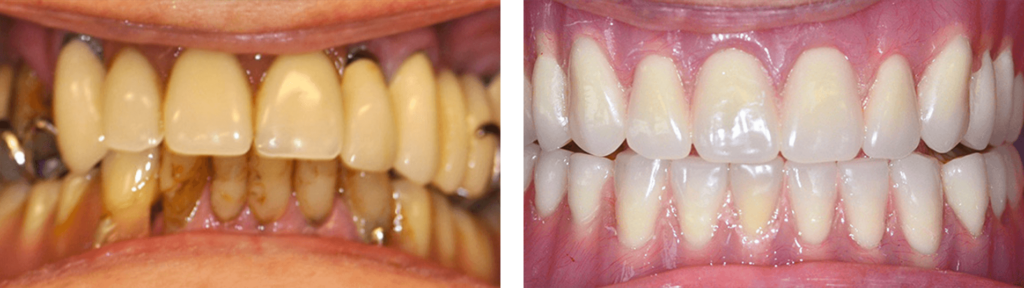
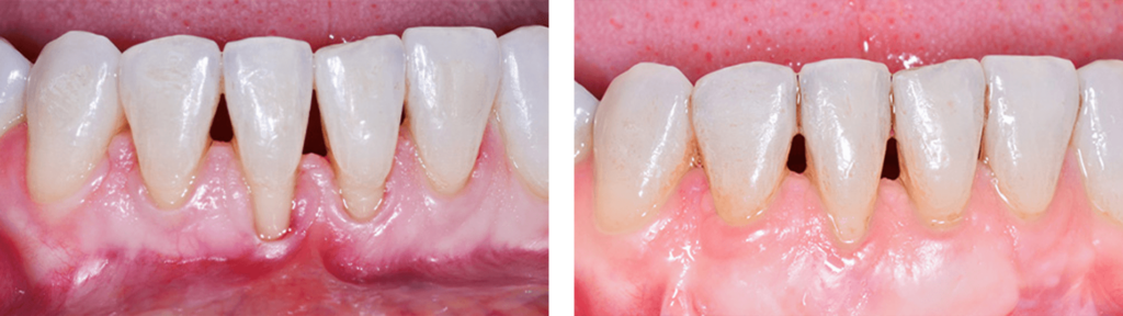
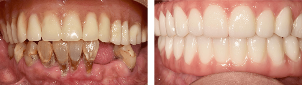
Video testimonials from patients Before & Afters Your New Smile Journey Begins TodayDetermine if you qualify Take a 60-Second Assessment Dental Implant Hotline (346) 597-1998